Using advanced CEREC 3D milling technology, we craft custom veneers, crowns, and bridges right in our office. No labs, no waiting—just a complete smile makeover in one visit. Now offering $500 off plus complimentary x-rays.
Using advanced CEREC 3D milling technology, we craft custom veneers, crowns, and bridges right in our office. No labs, no waiting—just a complete smile makeover in one visit. Now offering $500 off plus complimentary x-rays.
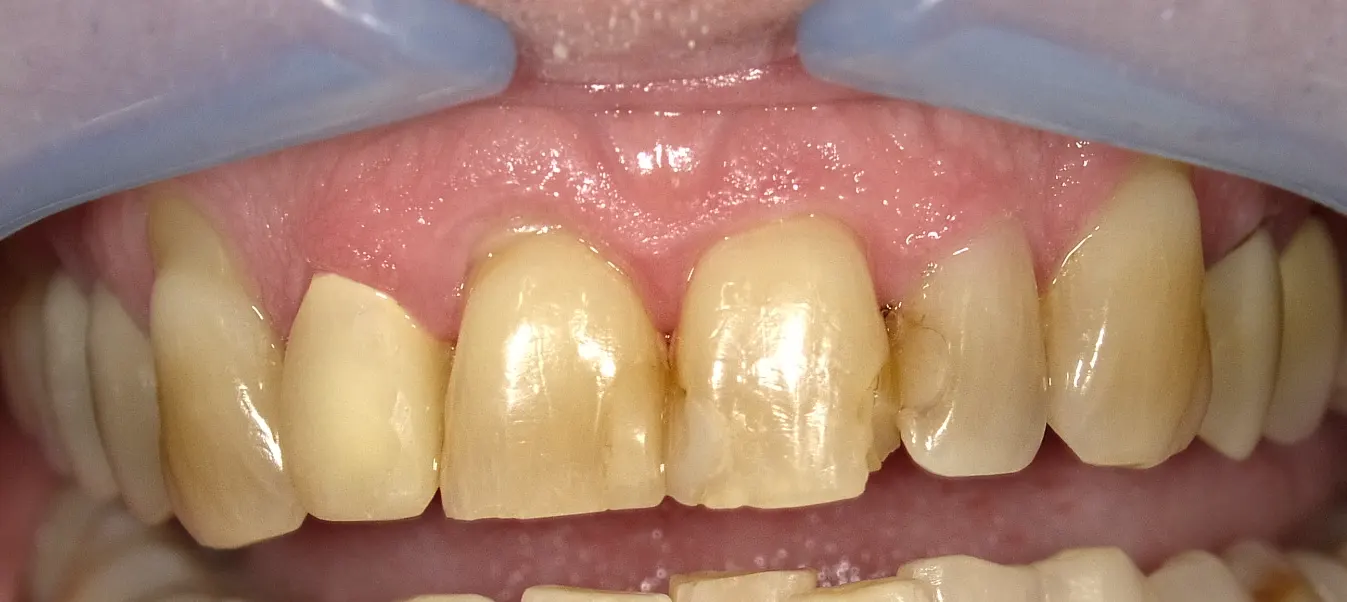
With CEREC technology, your same-day smile transformation can happen in just one visit to our Lake Leelanau office. Traditionally, crowns and veneers required messy impressions, temporary restorations, and multiple appointments over several weeks. CEREC changes that by using advanced 3D digital scanning and in-office milling to design and craft custom restorations on the spot. Your teeth are digitally scanned, the restoration is precisely designed with CAD software, and then milled from a high-quality ceramic block—all while you relax in the chair.
Once the crown or veneer is created, your dentist fine-tunes the fit and bonds it permanently in place the same day. There’s no need for temporaries, second appointments, or long waiting periods. The result is a durable, natural-looking smile that feels comfortable and looks beautiful after just one visit. With CEREC, you can walk in with dental concerns and walk out the very same day with the confident smile you’ve been waiting for.






After receiving her undergraduate degree in biology from Colgate University, Dr. Siddall attended dental school at the University of Michigan. In 1993, she graduated with high honors, and was ranked in the top 10% of clinical dental students.
During her first few years of practice, Dr. Siddall worked in a denture care clinic as an associate dentist. She gained extensive experience in denture therapy, partials and dental implant restorations before opening her own private practice in 1998.






Imagine walking out with a brand-new smile in just one visit. With our same-day CEREC crowns and veneers, it’s possible—plus you’ll save $500 and get free X-rays when you start today.
Fill out the form now, and our team will personally reach out to schedule your consultation. This is the first step toward the smile you deserve!


LOCATION
147 South Saint Joseph St.
Lake Leelanau, MI 49653
CONTACT